
12岁的舟舟一周前出现阵发性咳嗽并伴有发热,家长害怕去医院会交叉感染,于是在家自行吃药治疗。退热之后,舟舟咳嗽的症状没有好转,甚至开始咳后呕吐,活动后出现胸闷的情况。家长这才将舟舟送往湖北省中医院(湖北中医药大学附属医院)儿科就诊。
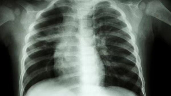
肺部ct显示,舟舟一侧肺部组织大面积变白。
接诊的儿科主任张雪荣经过一系列的查体后初步判断,舟舟已经发展成肺炎了。“收治入院后查胸片显示,孩子右肺内带见片状软组织样高密度影,右肺野内亦可见片状高密度影,右侧肋膈角变浅变钝,膈面模糊。考虑右肺部分不张伴胸腔积液可能。”看到胸片上舟舟的一侧肺部组织大面积变白后,家长既自责又后悔。好在经中西医结合治疗后,舟舟目前的症状已经明显好转。
张雪荣提醒家长,普通儿童新冠肺炎病程与其他病毒引起的肺炎较为相似,常见的表现是咳嗽时间较长,呼吸急促、面色发青等,“多数儿童呼吸道症状在1周内消失,少数重症肺炎常在1周后病情进展,一般到医院才能确诊。
这里科普一下,所谓的“白肺”是一种临床上的口语,并非指的就是人体的肺部组织变成白色了。
正常情况下,当肺泡里出现了炎症或者感染时,由于射线穿不透,所以在影像学里就会表现为白色区域。
而只有肺部的炎症比较严重,白色的影像区域面积达到了70%-80%时,医生们才会称之为“白肺”。
虽然最近“白肺”成为了社交媒体上众人热议的关键词,但据有关数据显示,目前“白肺”占比例非常低,也并没有网友们想象的那么严重,所以大家也没必要过分恐慌。
遇到孩子咳嗽,家长一定要重视
因为疫情的影响,很多孩子都纷纷中招,随之而来就是发热、咳嗽等症状,相比较是否发烧更容易判断,孩子咳嗽则是轻则几天,重则可达半个月甚至一个月之久。
而遇到孩子咳嗽,家长一定要重视,不要盲目止咳,也不能让孩子硬扛

以上就是小编带来的资讯。 欢迎关注本站,无论是时事热点,新闻资讯,游戏攻略与各类资讯,你都可以在这里找到!
